胸部レントゲン検査AI読影支援ソフト導入について
2026.01.26

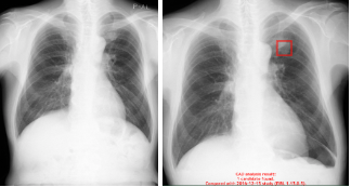
AI読影支援ソフトについて
当院では、胸部レントゲン検査においてAI読影支援ソフトの導入を予定しています。
AIが画像の中から病変の可能性がある部分を「確認ポイント」として示し、
医師がその上で丁寧に画像を確認することで、病変の見逃しリスクをできるだけ減らす診療体制を整えています。
また、レントゲンで気になる所見があった場合でも、当院にはCT検査があり、さらに詳しい検査を院内で行うことが可能です。
「異常があると言われたけれど、次にどうすればいいか分からない」
そんな不安をそのままにせず、レントゲンからCTまでスムーズに確認できる環境を整えています。
健診結果が気になる方や、一度しっかり調べておきたい方も、どうぞお気軽にご相談ください!
※AIは医師の診断を補助するものであり、最終的な判断は必ず医師が行います。

